战斗家新皮肤爆料最新!快来一睹为快!亲爱的游戏迷们,是不是已经迫不及待想要知道战斗家新皮肤的最新动态了呢?别急,今天我就要给你带...
你知道吗?最近互联网上掀起了一股“监管视频爆料”的热潮,这可是个让人又爱又恨的话题呢!咱们一起来聊聊,这究竟是怎么回事吧!一、什...
最近网上可是热闹非凡呢!咱们就来聊聊那个让无数网友都瞪大了眼睛的“网红西瓜冰吃瓜事件”吧。这事儿可真是让人猜不透,今天咱们就一起...
最近衡阳城里的百姓们可是炸开了锅,因为一段视频在网络上引起了轩然大波。这可不是什么普通的视频,它记录了一个让人瞠目结舌的事件,让...
你知道吗?最近互联网上掀起了一阵不小的风波,原因竟然是美国一位神秘黑客爆料了一段关于黛安娜的视频!这可真是让人意想不到,让我们一...
井柏然最新独家爆料:揭秘明星背后的故事亲爱的读者们,今天我要给大家带来一个超级劲爆的消息——井柏然最新独家爆料!没错,就是那个阳...
最近和平精英的玩家们可是炸开了锅,因为关于红装的最新消息和爆料层出不穷,让人兴奋不已!这不,我就迫不及待地来给你揭秘一下这些神秘...
你知道吗?最近外国媒体又爆出了一个大新闻,这回可是精准爆料,让人不得不佩服他们的调查能力。今天,就让我带你一起看看这个案例,看看...
你知道吗?最近娱乐圈可是热闹非凡,各种爆料层出不穷,让人应接不暇。今天,我就要给你来点劲爆的,让你大饱眼福!一、明星恋情大揭秘最...
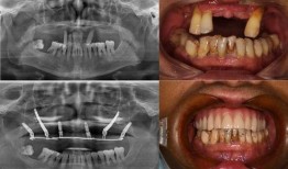
最近佛山那边的种牙事件可是闹得沸沸扬扬的,咱们得好好来聊聊这个话题。你有没有想过,一颗牙齿的种植竟然能引发这么大的波澜?那就让我...